
What Is Thyroid Nodule Ablation?
Thyroid nodule ablation is a minimally invasive procedure that uses radiofrequency energy to shrink or destroy benign thyroid nodules without surgery or scarring. This treatment preserves normal thyroid function and offers a faster recovery compared to traditional surgery.1

Radiofrequency Ablation (RFA) for Thyroid Nodules
During RFA, a thin probe is gently inserted into the targeted thyroid nodule under ultrasound guidance. Radio waves are then used to heat and dismantle the nodule from within. Since Thyroid Nodule Ablation does not require general anesthesia or hospital admission, most patients can return home the same day.
Key benefits:
- Return to work same day
- No scars
- Keep your thyroid2
- Low risk
Who Is a Candidate?
- Patients with difficulty swallowing, clearing their throat, singing, difficulty breathing while lying flat on their back or fatigue due to a thyroid nodule
- Those who wish to avoid surgery and preserve their thyroid
- Not suitable for initial thyroid cancer treatment
What to Expect During RFA
RFA is performed on an outpatient basis, meaning patients do not need to stay overnight at the facility. Thyroid Nodule Ablation is conducted under local anesthesia, keeping the patient awake but comfortable. Each session generally lasts between 30 and 60 minutes, and discomfort is minimal with a swift return to everyday life.
Additional Minimally Invasive Options
Thyroid Artery Embolization in Minneapolis
For very large nodules or (often those larger than 6 cm in diameter) goiters , thyroid artery embolization may be considered. In this procedure, small particles are introduced via a catheter, typically inserted through a blood vessel in the leg or arm, to block blood flow to the thyroid tissue. This causes the nodule to shrink gradually over time.
For more information on thyroid treatments, please click here to download our patient brochure ยป
For more information on Thyroid Artery Embolization, click here.


Radiofrequency Ablation: A minimally invasive, outpatient procedure performed under ultrasound guidance.

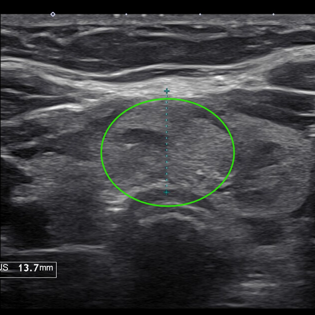
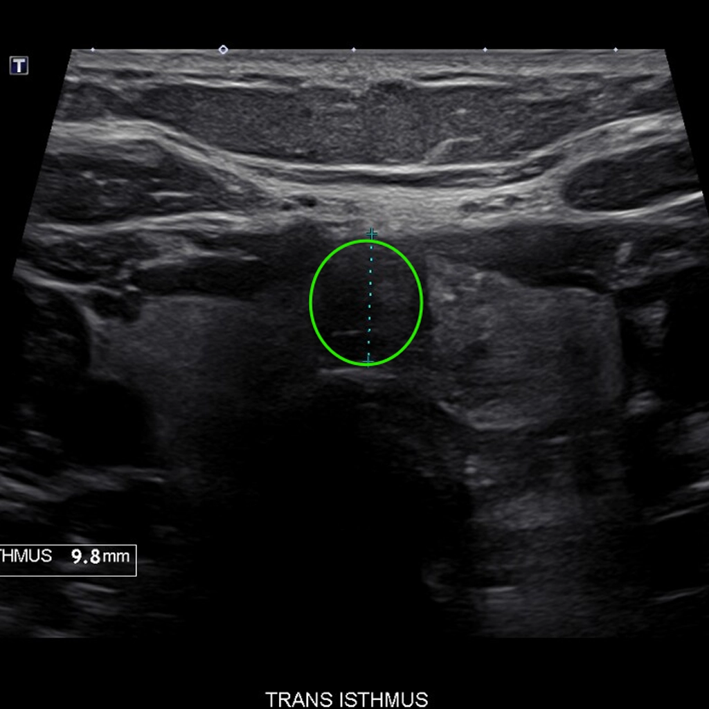
At 6 weeks, the nodule had shrunk ~70% to the size of a pea.
Natalie’s Story
Natalie, a lifelong singer, noticed she could no longer hit her high notes. She felt a thyroid lump pressing on her throat and voice box. An ultrasound confirmed an isthmus thyroid nodule the size of a small grape. The team at NSVI shrunk her thyroid through a minimally invasive procedure called Thyroid Radiofrequency Ablation. Within days, Natalie felt relief from her previous throat pressure. At 6 weeks, the nodule had shrunk 70% and down to the size of a pea. She could sing the high notes again! Plus, she had no scar and didn’t have to go through surgery.
Radiofrequency Ablation (RFA): Thyroid Nodule Ablation Treatments FAQs
Before the ablation, the patient lies down on a comfortable table with a mild neck extension (chin up). A grounding pad is attached to the thigh. It may be necessary to shave the hair on the thigh to properly place the pads. The neck is cleaned and towels and drapes are placed over your body. A thorough ultrasound exam is done examining the thyroid nodule. The skin over the thyroid is numbed with numbing medicine. The ablation needle is then placed into the nodule and adjusted multiple times to treat as much of the nodule as possible. The needle is removed and a bandaid and ice pack will be placed on your skin. The procedure itself will last about 30 minutes, and an additional hour will be required after the procedure for monitoring if you received sedation.
RFA significantly reduces nodule size and relieves symptoms, with low complication rates.1 Half the size at 3 months
Most patients retain normal thyroid function and do not need lifelong medication. Oftentimes we can remove medications after the nodule is shrunken.
No, RFA is performed with a needle, leaving no visible scar.
You must not eat or drink most beverages 8 hours prior to your procedure. You can drink clear liquids until 2 hours prior to the procedure but have no food or drinks of any kind within two hours of your procedure. Also, please do not wear makeup, lipstick or any jewelry on the day of your procedure. This procedure can be safely done without sedation, which would minimize restrictions prior to your procedure.
We will review the list of your medications and give you instructions or recommendations. In most cases, your medications will not affect the procedure.
If you are anxious, we can provide an anti-anxiety medication 30 minutes prior to the procedure. You will not be able to drive a car, so please arrange to have someone drive you to and from the procedure. We can discuss using deeper sedation as well, which will come with more pre- and post-procedure restrictions such as the need for earlier arrival, an empty stomach, a chaperone to drive and stay with you and recovery for at least 1 hour after the procedure.
Please inform your doctor if you have a pacemaker, and implants or implanted devices, are pregnant, are on medications (especially blood thinners).
After thyroid treatments like Thyroid Nodule Ablation, you can return to your regular daily activities as soon as you leave our center. You can walk or drive so long as no sedatives have been given.
Unless you have pain or have signs of an infection, you will not need any special medication. If you currently take medication, you will be able to resume taking them at any time after your Thyroid Nodule Ablation procedure.
Why Choose North Star Vascular and Interventional for Thyroid Nodule Ablation Treatment?
- World class experienced interventional radiology providers
- Expertise in ultrasound- and x-ray-guided procedures
- Comfortable, patient-centered outpatient setting